【学习】临床精准比色技巧之摄影
2017-08-26
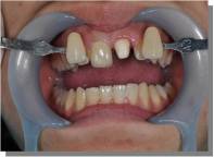
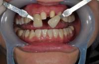
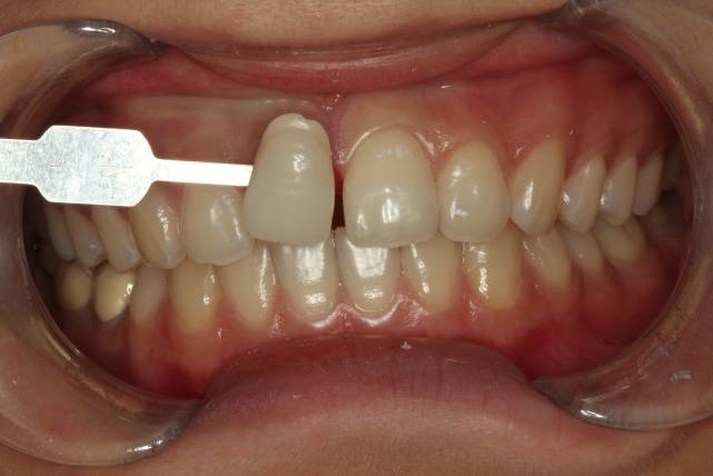
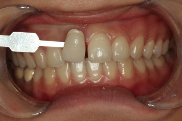
☞准备工具:单反相机、环形闪光灯、微距镜头85mm以上、张口器、黑色板、反光板、比色板
01
光圈与快门的重要性
光圈可以形象化的理解为单位时间内进入感光器的光源量,快门可以解读为光源进入感光器的时间,即曝光量.同样的光源量可以有多种光圈与快门组合的参数。如刚刚描述,更小的光圈可达到最大的景深。所以,快门的时间必须手动设置,以获得最佳影像。
02
曝光参数设置
适当的曝光决定影像的成败。当机身感光器获得光线不足时,影像就会过暗;当机身感光器获得光线过多时,影像就会过亮影响曝光参数。包括光圈大小、快门速度、闪光灯强度以及ISO值的设置,这都决定了感光器可获得多少光源。
03
何谓ISO值
ISO值可以解释为,感光器对光的敏锐度。数值越高,敏锐度也相对提高,相对色彩饱和度会不足。在口腔临床摄影中,主体是固定的,而且稳定光源,所以,一般为获得良好的色彩饱和度以及清晰度,我们建议使用低ISO值(100~200)来拍摄口腔。
04
对焦方式
每一个拍摄方式都和一个拍摄距离是相对应的,因此在拍摄时,需要准确的抓到这个距离才能确保曝光适宜与构图的完整性。先根据拍摄环境设置光圈大小、快门速度、闪光强度。将拍摄主体位置距离抓好,再调整镜头焦段,直到影像清晰,再按下快门。这样的拍摄方式,其最大优势确保构图和曝光数值的标准化,是最科学的拍摄方式之一。在拍摄过程中,不可去动到对焦环,避免影像产生变形。
所谓景深是指拍摄过程中,当对某一焦点对焦清晰时,从该点到之前一段距离及之后一段距离内,所有景物都是清晰的,而这段清晰的距离就叫做景深。
让影像的一小部份清晰,其余部份虚化以达到柔化画面和突显出主体部份效果。但是在口腔临床摄影,却是要求图像整体清晰,景深必须开到最大化,才有利于取得图像完整性。景深不足,往往是临床摄影初学者的最常发生的问题。
影像的景深与多个因素有直接关系,如镜头焦距、拍摄距离、光圈的大小等。甚至于相机的机身、拍摄的镜头以及摄影距离也有一定的关系!
使用较短焦距的镜头,我们所获得的景深就会比较大。当使用相同机身,相同镜头以及拍摄距离的时候,光圈越小,我们所能获得的景深也就越大!
光是色彩之母,没有光源一切都是黑暗。合适的光源有助于我们拍摄物体,
合适的光源有助于我们对颜色的判断。
在口腔摄影里,因为拍摄环境的不同,所以需要黑板来增加摄影的成功率。黑色的物体可以吸收多余的干扰光,不仅能使主体颜色更加鲜明正确,还能与主体形成强烈的对比关系。
干货集结:
快门 1/125 、 光圈 F25 、 ISO 100
拍摄主体面向光源,不可多反光
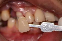
比色板与牙齿保持于同一水平线




